Aktuelle Kursangebote
Fortbildung
neuer Patientenkurs mit Klaus Müterthies & Live Patient/in vom 13. - 16 Juni 2019 in unserer Mühle
sein, unser Lieblingsthema,
non bzw. Minimalinvasive Versorgungen mit hochästhetischen Ergebnissen

Das Programm:
Freitag vormittag nach ausgiebigem Frühstück Vortrag von Klaus Müterthies
Vorstellung der geplanten Arbeit
Durchführung aller praktischen Arbeitsschritte incl. Anproben etc
Kurs dauert bis Samstag Abend
Bei Interesse demonstrieren Wilhelm Kiefer und Eric Liebmann, prothesiste dentaire, Techniken zur “non invasiven” Abformung, Bissnahme, Gesichtsbogenübertragung
während der Korrekturabformung, Modellherstellung in diversen Varianten, analog und digital, individuelle Artikulation etc.
Rahmenprogramm:
Donnerstag Abend Eintreffen der Teilnehmer, Abendbrot und Begrüßung in unserer Hauskneipe
Freitag vormittag Frühstück, Mittagessen in unserer Kneipe
Samstag vormittag Frühstück, Mittagessen in unserer Kneipe
Sonntag vormittag Frühstück, danach Abreise der Teilnehmer
Freitag/Samstag Abend - nach Absprache mit den Teilnehmern - entweder gemeinsames Grillen und/oder Flammkuchenessen - Essen in feinem Restaurant im Nachbarort
Veranstaltungsort: Familie Kiefer, 3, rue du moulin, F 67340 Sparsbach - Nordvogesen
Teilnehmerzahl begrenzt !
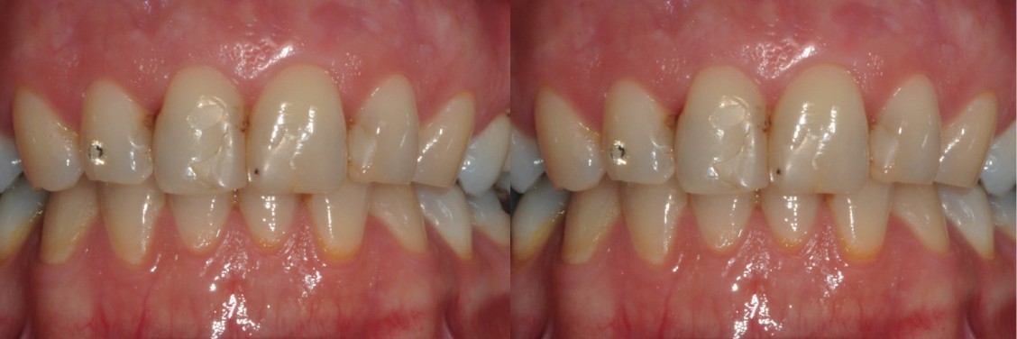
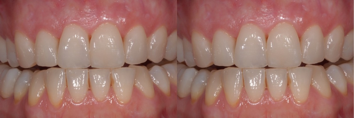
Ohne Worte .............................
vorher
danach
Kosten:
€ 1.380,00 zuzügl. MWSt. für den Kurs incl. 3 Übernachtungen in unserem Gästehaus incl. Vollpension
oder € 1.180 zuzügl. MWSt. ohne Übernachtung bei uns, sondern in Hotel in La Petite Pierre auf eigene Kosten - wir buchen für Sie wenn gewünscht
Das Kursangebot zum Herunterladen
und zur Kursanmeldung